Page 51:
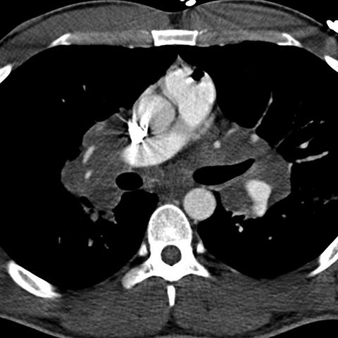
Hilar and Paratracheal Nodes in Sarcoidosis [3 of 3]
Lines
Lines and Labels
Mouse-Over:
« Previous
Home
Next »