Page 54:
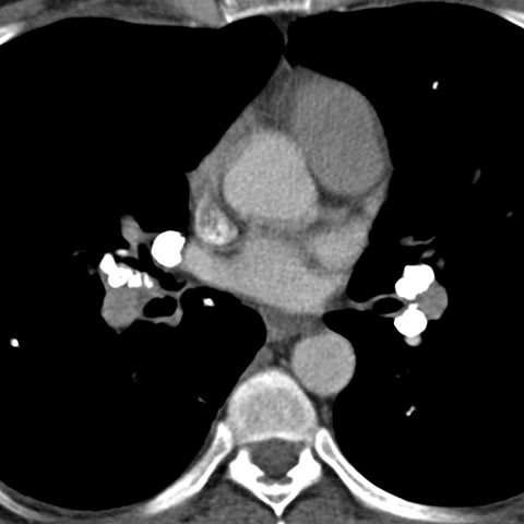
Calcified Hilar Nodes, Remote Granulomatous Infection [3 of 4]
Lines
Lines and Labels
Mouse-Over:
« Previous
Home
Next »