Page 69:
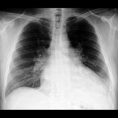
Pleural Effusion, Small to Moderate [1 of 5]
Lines
Lines and Labels
Mouse-Over:
« Previous
Home
Next »