Page 83:
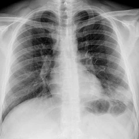
Silhouette Sign, LLL Pneumonia (PA CXR) [1 of 2]
Lines
Lines and Labels
Mouse-Over:
« Previous
Home
Next »