Page 87:
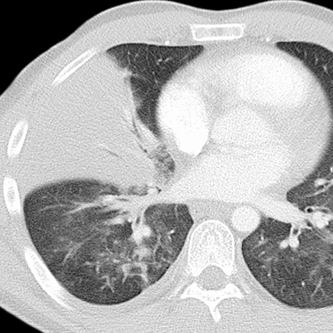
Silhouette Sign, RML Pneumonia (Chest CT) [3 of 4]
Lines
Lines and Labels
Mouse-Over:
« Previous
Home
Next »