Page 108:
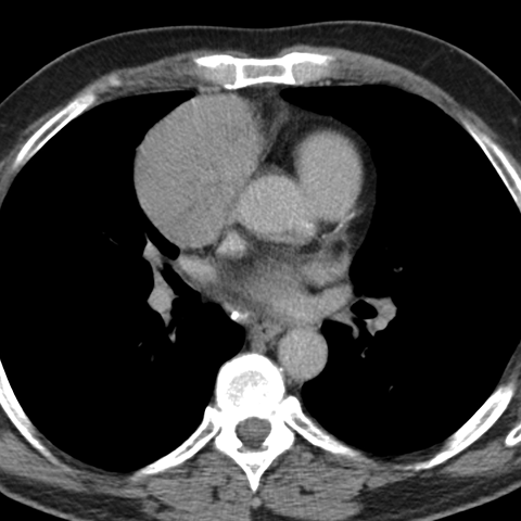
Mediastinal mass, thymoma [3 of 3]
Lines
Lines and Labels
Mouse-Over:
« Previous
Home
Next »