Page 113:
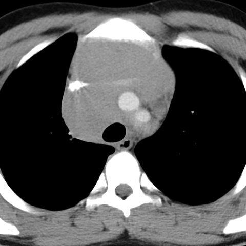
Diffuse Mediastinal Lymphadenopathy in Hodgkin's (Chest CT)
Lines
Lines and Labels
Mouse-Over:
« Previous
Home
Next »