Page 120:
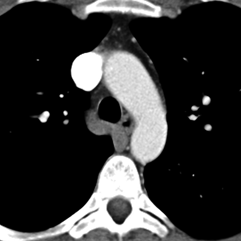
Normal antomy of the aorta (Axial CT) [3 of 5]
Lines
Lines and Labels
Mouse-Over:
« Previous
Home
Next »