Page 122:
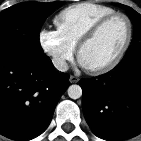
Normal antomy of the aorta (Axial CT) [5 of 5]
Lines
Lines and Labels
Mouse-Over:
« Previous
Home
Next »