Page 130:
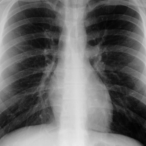
Normal Heart (PA CXR) [1 of 6]
Lines
Lines and Labels
Mouse-Over:
« Previous
Home
Next »