Page 169:
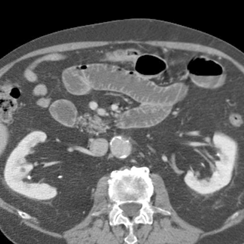
66 year-old male presents with a protruding abdominal mass and pain. [2 of 2]
Lines
Lines and Labels
Mouse-Over:
« Previous
Home
Next »