Page 175:
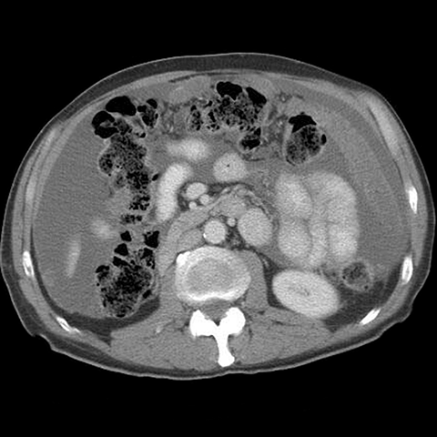
77 year-old woman with a history of ovarian cancer presents with increasing abdominal girth. [6 of 6]
Lines
Lines and Labels
Mouse-Over:
« Previous
Home
Next »