Page 200:
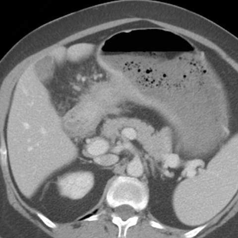
56 year-old male presents with abdominal pain and weight loss [3 of 5]
Lines
Lines and Labels
Mouse-Over:
« Previous
Home
Next »