Page 244:
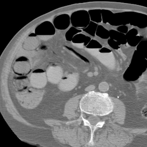
65 year-old male presents with a sudden onset of abdominal pain and bloody diarrhea. [2 of 2]
Lines
Lines and Labels
Mouse-Over:
« Previous
Home
Next »