Page 290:
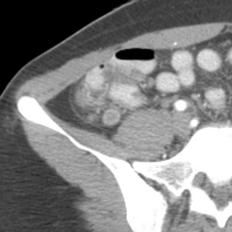
18 year-old male presents with a sudden onset of RLQ pain and rebound tenderness. [2 of 5]
Lines
Lines and Labels
Mouse-Over:
« Previous
Home
Next »