Page 315:
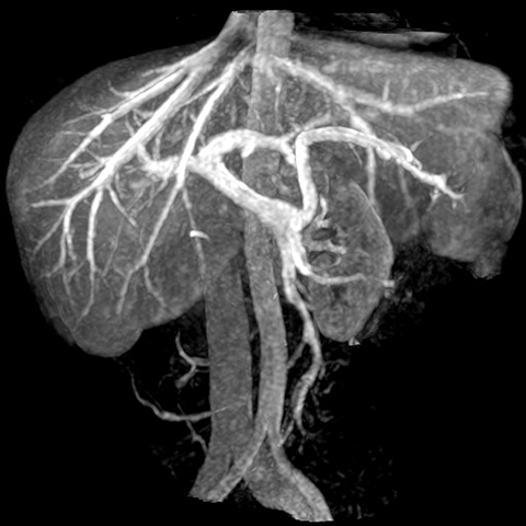
Portal and Hepatic Vein (Coronal maximum intensity projection images) [2 of 2]
Lines
Lines and Labels
Mouse-Over:
« Previous
Home
Next »