Page 323:
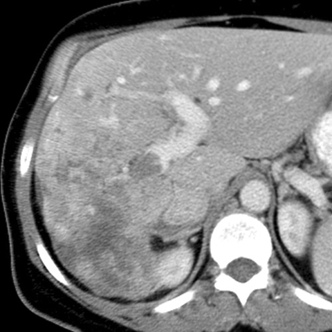
67 year-old male presents with weight loss, fatigue and jaundice. [1 of 2]
Lines
Lines and Labels
Mouse-Over:
« Previous
Home
Next »