Page 360:
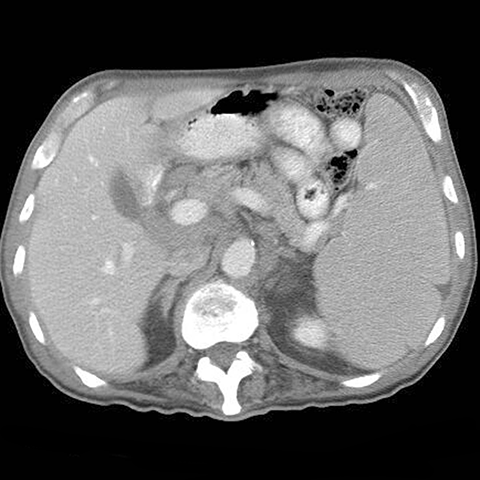
26-year old presents with night sweats and fever. [1 of 2]
Lines
Lines and Labels
Mouse-Over:
« Previous
Home
Next »