Page 410:
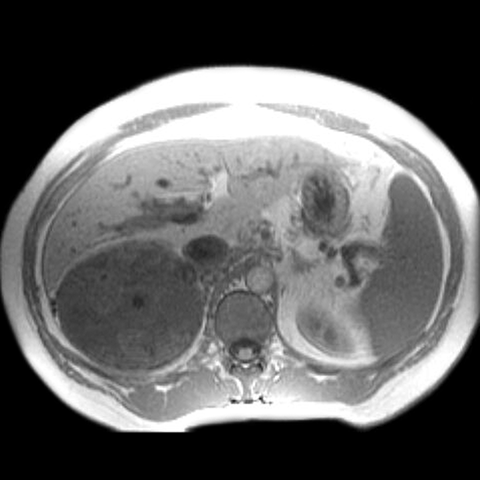
42-year-old-male presents with episodic headache, diaphoresis, and tachycardia. [2 of 3]
Lines
Lines and Labels
Mouse-Over:
« Previous
Home
Next »