Page 487:
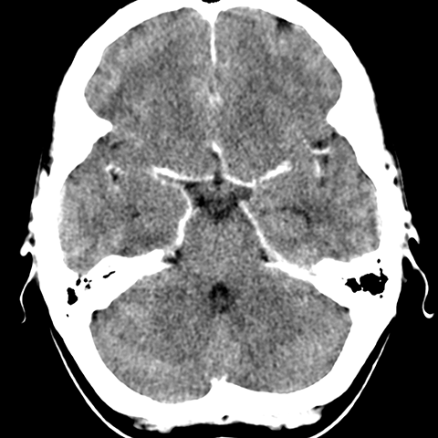
Cerebral Hemispheres, CT (normal) [4 of 6]
Lines
Lines and Labels
Mouse-Over:
« Previous
Home
Next »