Page 530:
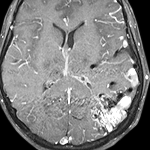
Cerebral AVM [3 of 3]
Lines
Lines and Labels
Mouse-Over:
« Previous
Home
Next »