Page 45:
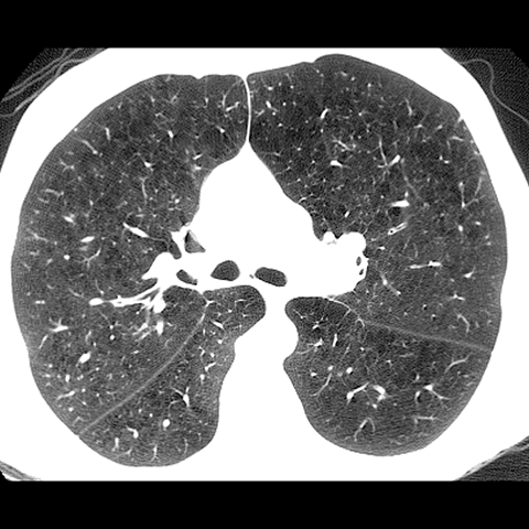
A 62 year-old male presents with chronic shortness of breath (Axial HRCT). [5 of 6]
Lines
Lines and Labels
Mouse-Over:
« Previous
Home
Next »