Page 46:
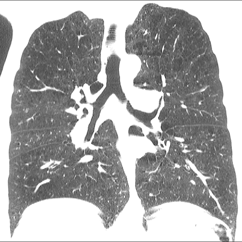
A 62 year-old male presents with chronic shortness of breath (Coronal HRCT). [6 of 6]
Lines
Lines and Labels
Mouse-Over:
« Previous
Home
Next »