Page 257:
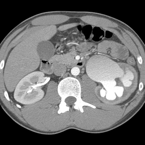
Hydronephrotic left kidney, axial CT [2 of 4]
Lines
Lines and Labels
Mouse-Over:
« Previous
Home
Next »