Page 258:
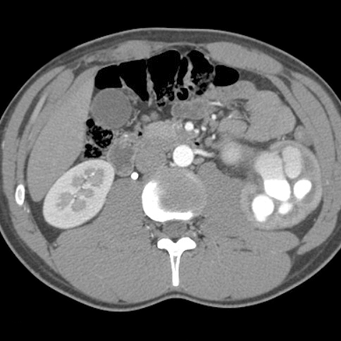
Congenital obstruction of the ureteropelvic junction (UPJ), axial CT [3 of 4]
Lines
Lines and Labels
Mouse-Over:
« Previous
Home
Next »