spacer

Recent advances in magnetic resonance imaging allow us to measure the diffusion of water in the living human brain. Using these measurements, we can track neural connections in the white matter of the brain.

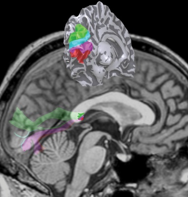
Summary figure from PNAS paper

The left and right hemispheres of the human brain each contain a collection of maps that represent the contralateral half of the visual field. The signals in the left and right hemispheres are coordinated by large bundles of neural fibers that pass through the posterior corpus callosum (splenium). The upper image shows the general location of the maps on the left hemisphere. The background image shows the path of the fiber bundles, as they pass through the splenium and continue to the cortical surface.

Copyright policy. Contact: bobd@stanford.edu. Last modified 2011-Nov-07 17:40 GMT.